Upcoming webinars
No upcoming webinars. Please see our on-demand webinars below.
On-demand webinars

Aiforia software,
Pathology,
Oncology
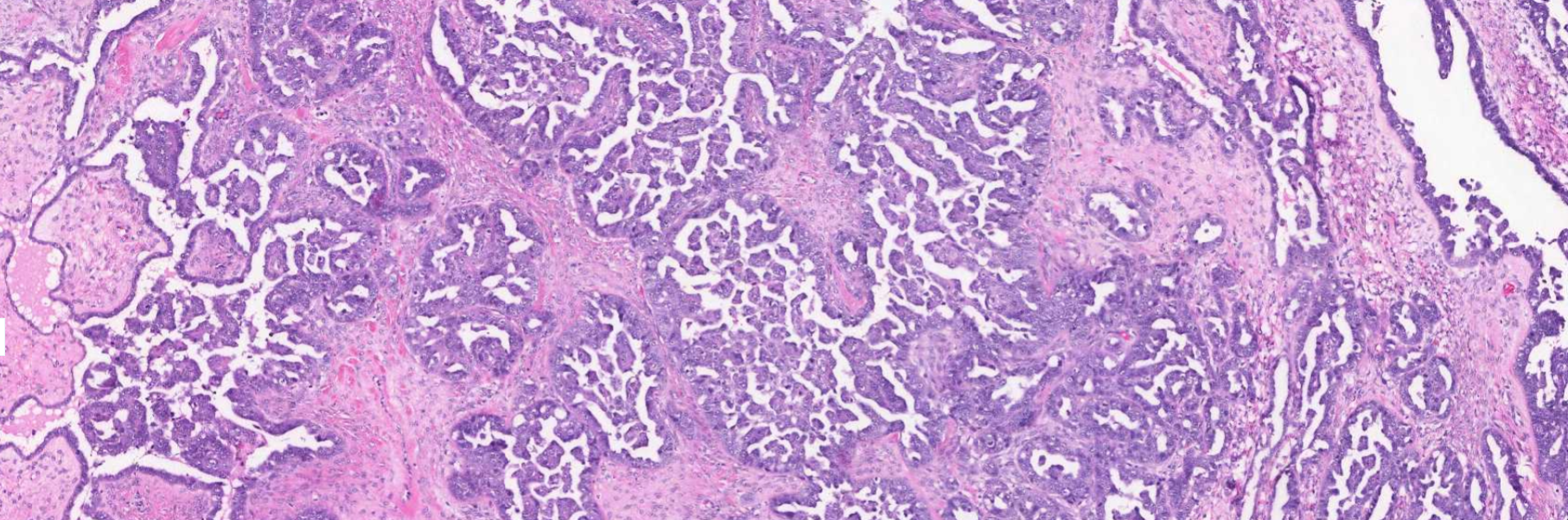
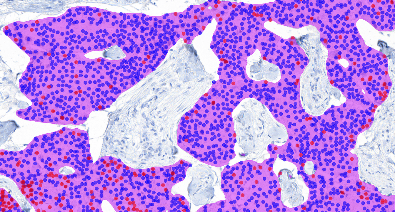
Evaluation of HER2-low and ultralow status of advanced breast carcinomas
Presented by:
- Anikó Kovács, MD, PhD, Associate Professor, Pathologist, and Lecturer at Sahlgrenska University Hospital
- Rute Pedrosa, Senior Field Application Scientist, Aiforia Technologies














Pathology,
Aiforia software
Virtual Workshop: Practical applications of AI from research to clinical practice
Presented by:
- Emine Cesmecioglu MD, Senior Research Scientist at Memorial Sloan Kettering Cancer Center
- Rish Pai MD, PhD, Consultant Pathologist and Professor of Laboratory Medicine and Pathology Organisation at the Mayo Clinic
- Alex Klimowicz PhD, Senior Principal Scientist at Boehringer Ingelheim
- Christiane V. Löhr, Dr. med. vet., PhD, Visiting Scientist at Charles River Laboratories
- Thomas Westerling-Bui PhD, Director of Scientific Strategy at Aiforia


Pathology,
Aiforia software
AI Powered Quantitative Pathology in Clinical and Preclinical Studies
Presented by:
- Rish Pai MD PhD, Consultant Pathologist and Professor of Laboratory Medicine and Pathology at the Mayo Clinic
- Alex Klimowicz PhD, Senior Principal Scientist at Boehringer Ingelheim Pharma













