AI for prostate cancer diagnostics
Elevate your pathology lab with Aiforia® Prostate Cancer Suite – enhancing precision, speed, and diagnostic confidence with cutting-edge AI technology.
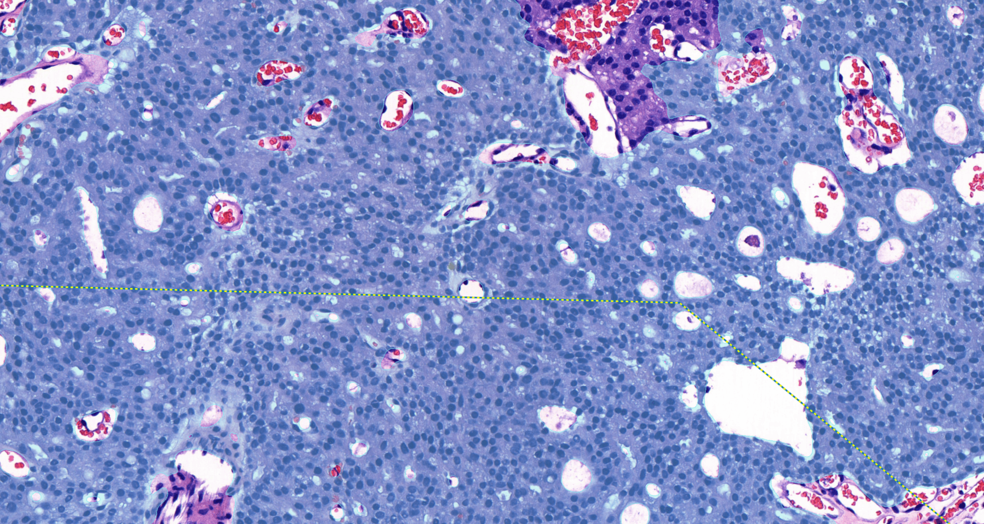
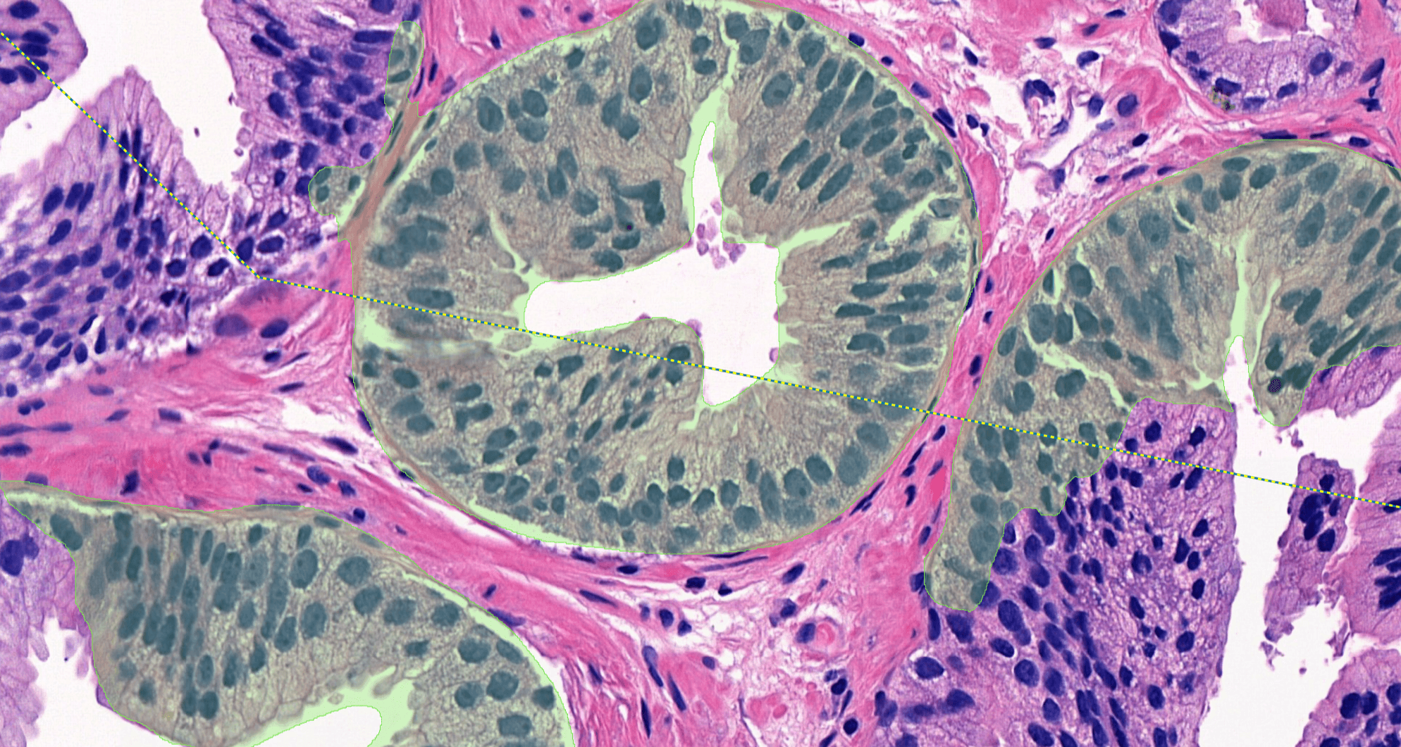
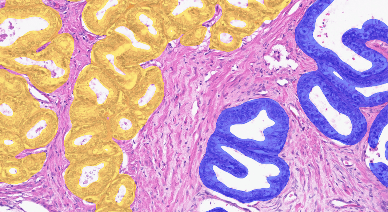
Aiforia® Prostate Cancer Suite consists of AI models with an optimized interactive user interface that supports pathologists in Gleason grade grouping and identifying adverse histopathological features.
Only certain Aiforia® Clinical AI models and the Aiforia® Clinical Suite Viewer are CE-IVD marked for diagnostic use in EU and EEA countries; see details under each AI model.
Contact us




/Cancer%20JPEG/prostate_grading_after_blog_carousel.jpeg?width=600&height=314&name=prostate_grading_after_blog_carousel.jpeg)