This article summarizes a proof-of-concept study by Dr. Bart Sturm, MD, PhD, and his team at Pathan B.V. in collaboration with Radboud University Medical Center. The complete publication, Deep learning predicts the effect of neoadjuvant chemotherapy for patients with triple-negative breast cancer, was published in the Journal of Pathology Informatics in August 2025.
The study aims to predict the outcome of neoadjuvant chemotherapy (NAC), systemic chemotherapy offered before surgery, using deep learning technology based on the microscopic morphological characteristics in whole-slide images of H&E-stained preoperative tumor biopsies.
“After more than 10 years of examining breast cancer H&E slides, I felt I was developing an intuition for which tumors would respond well to neoadjuvant chemotherapy and which would not, based on their microscopic morphology concerning triple-negative breast cancer. This formed the basis for the hypothesis of this study,” Dr. Sturm explains the background.
Why is prediction important?
The best treatment option for each breast cancer patient is determined based on the biopsy findings in combination with clinical information (tumor size and lymph node status based on clinical imaging). NAC is offered in a subset of cases. In primary breast cancer, the therapeutic objective is to shrink the tumor and downstage the disease. In cases of advanced disease, NAC may transform an inoperable disease into an operable one.
Nowadays, the role of NAC also extends to patients with early-stage breast cancer, allowing for the performance of a wide local tumor excision instead of a mastectomy, which improves cosmetic outcomes and reduces post-operative complications. Especially in triple-negative breast carcinoma (TNBC), the response to chemotherapy is a strong predictive marker for the risk of recurrence. Thus, it can be used as a surrogate endpoint of favorable survival.
NAC, typically administered for six months post-biopsy, often causes toxic side effects that may worsen patient prognosis and incur significant costs. Thus, predicting whether a patient will have a good or poor response to NAC is crucial. Accurate prediction can prevent unnecessary harm by avoiding ineffective and potentially toxic NAC treatment. It would also allow for timely tumor resection, eliminating the 4–6 month delay associated with chemotherapy.
Training the AI model
Dr. Sturm and his team trained a convolutional neural network using Aiforia® Create, Aiforia’s cloud-based tool for developing deep learning AI models for image analysis in digital pathology. The team used 221 H&E-stained biopsies of TNBC from 205 patients who received NAC for at least 4.5 months before surgery.
Precise invasive tumor regions were annotated, including a small rim of surrounding area and excluding surrounding whitespace background, benign tissue, DCIS, artifacts, extensive fibrosis/sclerosis, and necrosis.
“After receiving instructions, I quickly got started with annotating the slides. The Aiforia Platform is logically and intuitively designed.” – Bart Sturm, MD, PhD, Radboud University Medical Center
The cases were divided into three patient cohorts based on the EUSOMA scoring according to the pathology report of the subsequent tumor surgery specimen:
- Good response to NAC (<10% residual tumor)
- Moderate response to NAC (10-50% residual tumor)
- Bad response to NAC (>50% residual tumor)
The team decided to merge moderate and bad responses to achieve better discrimination for potential visual biomarkers. The model was tested on a separate test set of 52 new biopsies from 50 patients.
The algorithm was trained in a weakly supervised manner without addressing already known biomarkers. This approach enables rapid prediction from the digital images, completing the task in seconds, as opposed to time-consuming grading performed by pathologists and potential future expenses and delays associated with genetic predictive testing. This method can also uncover novel visual biomarkers or combinations of biomarkers not yet recognized by (human) pathologists.
“This method was selected following a previous study that investigated chemotherapy in ovarian cancer. Initially, we attempted to improve the results with minor tweaks, but these made virtually no difference compared to the default AI settings. Based on the cross-validation groups, we understood that we were on the right track, with an area under the curve value and confidence interval above 0.5. The final test, based on the 2022 cohort, exceeded our expectations,” Dr. Sturm explains.
Could AI aid as a therapeutic decision-making tool?
The study achieved a predictive AUC ROC performance score of 0.696 on the test set, outperforming a predictive AUC of 0.63 based on traditional structured clinical data. This demonstrates AI’s capability to extract subtle, complex visual data that can surpass the predictive power of conventional methods. This will eventually alleviate pathologists' workloads and decrease healthcare costs.
“The results of the study indicate that the microscopic morphology of tumors contains features that may be predictive of therapy outcomes. In a sense, this has been known for some time and is reflected in breast cancer B&R grading, which generally indicates how aggressive a tumor is,” Dr. Sturm explains. “However, these systems are only moderately predictive of the response to neoadjuvant chemotherapy. Artificial intelligence offers the potential to make these predictions more objective and significantly more accurate.”
Dr. Sturm anticipates that predictive accuracy will further improve when various clinical variables are incorporated, such as tumor diameter, lymph node status, and inpatient characteristics (e.g. BMI and underlying conditions, such as diabetes or autoimmune diseases). “Based on AI-driven therapy outcome predictions, it may become evident that in specific cases, neoadjuvant chemotherapy is not beneficial, and initial surgery—possibly followed by adjuvant chemotherapy—would be the preferred approach.”

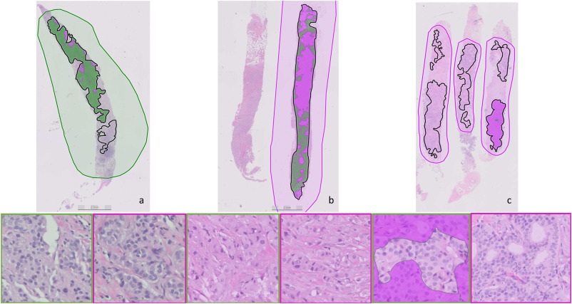
Example of AI prediction in a case of good (a), moderate (b), and bad (c) response to NAC.
Ref. Sturm B, Lock P, Kumar D, Blokx WAM, van der Laak JAWM. Deep learning predicts the effect of neoadjuvant chemotherapy for patients with triple-negative breast cancer. J Pathol Inform. 2025 May 14;18:100448. doi: 10.1016/j.jpi.2025.100448. PMID: 40524708; PMCID: PMC12169771.
Furthermore, AI-driven analysis of diagnostic tumors may serve as a therapeutic decision-making tool, guiding the selection of chemotherapy based on predictive modeling of treatment outcomes: a favorable prognostic assessment could suggest NAC before surgery, while a negative prediction could favor initial surgery followed by potential adjuvant chemotherapy.
Future directions
Dr. Sturm’s study paves the way for safer and more efficient treatment options for women with breast cancer. Improved prediction methods can also reduce healthcare costs, as chemotherapy can be recommended to patients who are most likely to benefit from it.
This study also marks the final chapter of Dr. Sturm’s PhD journey. “Several research groups around the world are currently conducting similar studies with a much larger number of cases, incorporating clinical variables. I am very curious to see the outcomes of these studies. I intend to make the cases from my study available in a repository, preferably through BigPicture, for future research,” he explains.
Dr. Sturm believes that in the short term, AI will take over many tasks in pathology, particularly the more tedious ones. In the long term, he estimates that it will be capable of performing pathology diagnostics with a fair degree of autonomy, though still under the supervision of a pathologist. “In oncology, I expect AI will help make more precise and efficient therapy decisions, based on a combination of various (visual) biomarkers and clinical and patient-specific variables. I hope this will ultimately lead to a better quality of life for patients,” he concludes.