The preclinical phase of drug discovery and development involves extensive safety and efficacy evaluations of the potential therapeutic intervention, often using cell and animal models of disease. These studies commonly include examining numerous histopathological samples, contributing to the time-consuming and labor-intensive drug development process for pharmaceutical and contract research organizations.
Artificial Intelligence (AI) applications and platforms have been recently introduced or are already used in different phases of drug development and discovery, ranging from early target identification to post-marketing management, including preclinical, clinical, and manufacturing phases. The use of AI in the drug industry is expected to be a game changer that will speed up its overall cycle and improve the efficiency and accuracy of data analysis. Regarding preclinical studies, the use of AI in these studies is expected not only to increase accuracy and efficiency but also to improve the 3R (Replacement, Reduction, and Refinement) principles of using animals in research.
Advantages of AI in drug discovery
Recently, several AI platforms have gained significant attention as a potential means to revolutionize all phases of drug discovery from lab bench to bedside. For instance, different high throughput AI solutions have evolved to provide faster and more accurate solutions in identifying new drug targets1, drug molecule structure optimization2, prediction of drug efficacy and toxicity3, prediction of physicochemical properties4, drug-drug interaction5, and prediction of drug bioactivity6.
Preclinical histopathology evaluation is a bottleneck in drug discovery that often relies on examining tens of thousands of slides from different animals by experienced pathologists. Histopathologic evaluation is, in many cases, subjective and lacks the necessary quantitative data that is required for decision-making. Therefore, using AI in interpreting histopathology data can assist pathologists in making faster and more accurate decisions, particularly in challenging areas where quantitative data is required, such as efficacy studies, animal model characterization, molecular pathology, and some toxicity studies (e.g., neurotoxicity studies).
In addition, AI solutions can help evaluate the quality of the histopathology slides and identify any processing or staining artifacts, which would lead to an enormous reduction in the timelines needed for histopathology evaluation. Examples of the type of preclinical studies that AI can contribute to are:
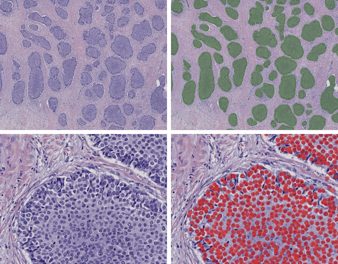
- Oncology animal model characterization and efficacy studies: AI can provide fast and accurate solutions to quantify and identify tumor and non-tumor areas, immune cells, vasculature, and invasiveness either in H&E-stained slides or immuno-stained slides.
- NASH studies: Fibrosis quantification and identification of inflammatory foci and balloon cells within the histologic section are examples of what AI can provide as an alternative to classic subjective analysis of NASH (non-alcoholic steato-hepatitis) liver specimens.
- Pulmonary infectious diseases: Quantifying affected lung areas (e.g., TB granuloma) versus healthy lung tissue in lung efficacy studies is another area where AI can provide reliable and accurate quantitative data.
- Testicular and ovarian staging: Differential staging of the testis and ovary is a golden standard endpoint to rule out any potential reproductive toxicity of a drug candidate. Routine evaluation methods can provide subjective data that is usually hard to interpret. Therefore, AI can help reproductive pathologists and provide an excellent analysis alternative in this field.
- Quality control: Histologic specimens are often associated with staining and/or processing artifacts, which can preclude examination quality and timelines. High-throughput AI solutions can identify these issues early and significantly shorten the studies' turnaround times.

H&E-stained section from breast cancer (left panel). The right panel showing same section analyzed by an AI algorithm that can identify and quantify tumor (green areas) vs non-tumor areas and also identify and count the numbers of neoplastic cells (red circles).
How Aiforia’s customers have used AI in drug discovery and development
Faron Pharmaceuticals – using AI to perform spatial analysis in cancer drug development
Faron Pharmaceuticals is developing Bexmarilimab, a monoclonal antibody that targets Clever-1, a protein found on the surface of immune cells. They performed spatial analyses on the sample images by measuring the distances from Clever-1 positive macrophages to tumor borders. “Spatial analysis is not simple to complete systematically with a human reader,” Elisa Vuorinen, a Research Project Manager at Faron, comments.
The team decided to build an AI model to quantify and localize Clever-1 in the tumor microenvironment using Aiforia® Create, Aiforia’s versatile AI development tool.
“Aiforia’s AI solution assisted us in accurately extracting these measurements from our images with a relatively short turnaround time. Due to this, our team did not need to perform this repetitive and cumbersome task manually. We saved time and effort and were able to focus on other parts of our project." – Elisa Vuorinen, Research Project Manager at Faron Pharmaceuticals
Read the full case study here →
Orion Pharma – accelerating preclinical neurotoxicity analysis with AI
Preclinical toxicology studies are an essential part of drug discovery and development processes. Validation of research results is another section in preclinical studies that can benefit from AI. Scientific validation requires objective evidence that the methods for obtaining results are robust, reliable, and reproducible.
The scientists at Orion used Aiforia® Create to develop AI models for identifying and visualizing astrocytes to help assess the correlation between biochemical and immunohistochemical observations. After successfully using the developed models, the team listed the following benefits:
- Time-savings
- Increased accuracy
- Better visibility of subtle differences
- Visual feedback
- Removed subjectivity
“These AI models are a very powerful tool; we now know that if we did a study looking at astrocytes today and repeated it next year on the same samples, we can safely assume we get the same results. This is a huge benefit in the early stages of drug development. It is crucial that we have tools which produce consistent and accurate results.” – Miika Vuorimaa, Research Scientist, Orion Pharma
Read the full case study here →
References
- Paul, D. et al. (2021). Artificial intelligence in drug discovery and development. Drug Discov Today, 26(1), 80-93. https://doi.org/10.1016/j.drudis.2020.10.010
- Zhang, K. et al. (2025). Artificial intelligence in drug development. Nat Med, 31, 45–59 (2025). https://doi.org/10.1038/s41591-024-03434-4
- Mayr, A. et al. (2016). DeepTox: toxicity prediction using deep learning. Frontiers Environmental in Science, 3, 80. https://doi.org/10.3389/fenvs.2015.00080
- Thafar, M. et al. (2019). Comparison study of computational prediction tools for drug-target binding affinities. Frontiers in Chemistry, 7, 782. https://doi.org/10.3389/fchem.2019.00782
- Allesøe, R. L. et al. (2023). Discovery of drug–omics associations in type 2 diabetes with generative deep-learning models. Nat. Biotechnol. 41, 399–408. https://doi.org/10.1038/s41587-022-01520-x
- Lounkine E. et al. (2012). Large-scale prediction and testing of drug activity on side-effect targets. Nature, 486, 361–367. https://doi.org/10.1038/nature11159