AI for gastric diagnostics
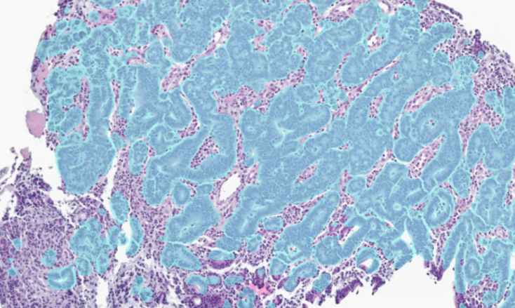
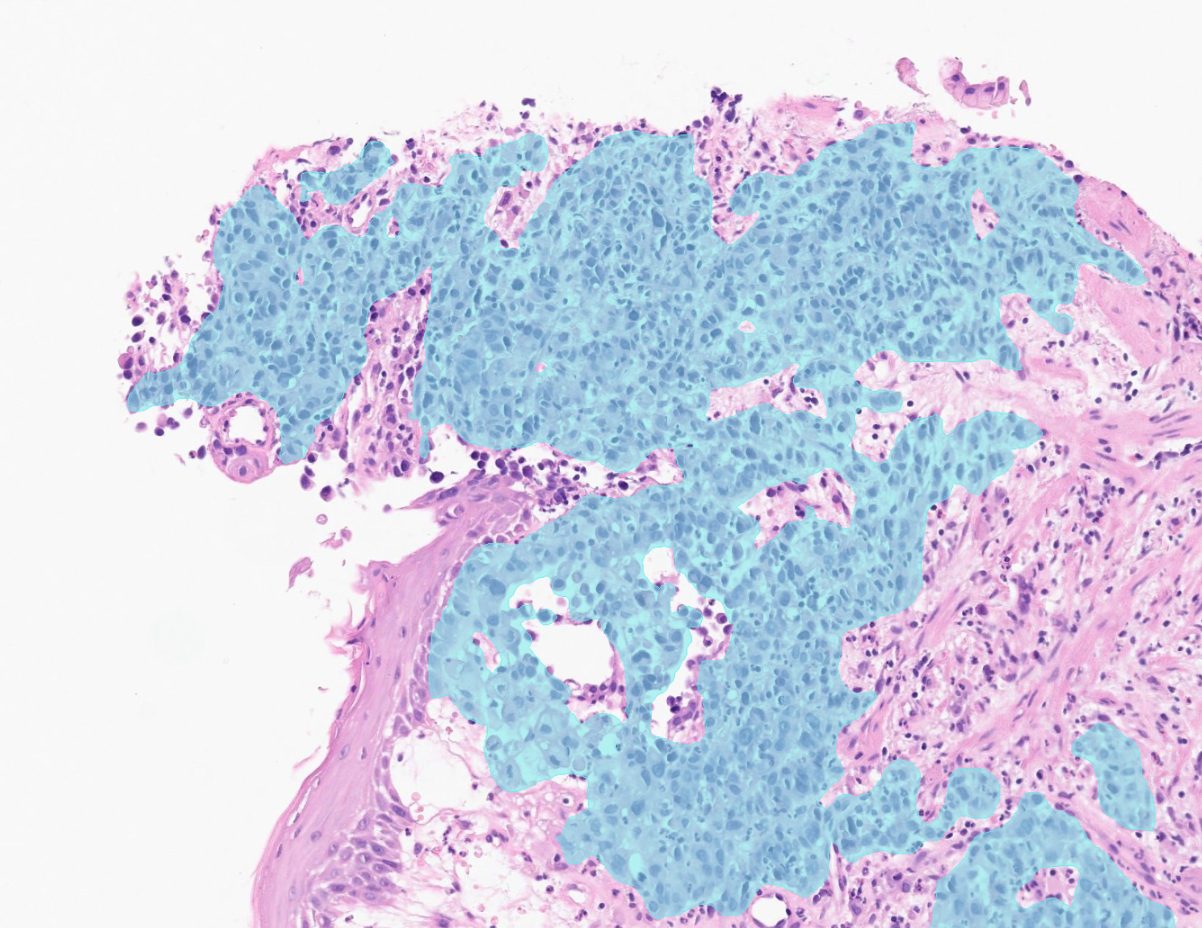
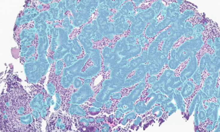
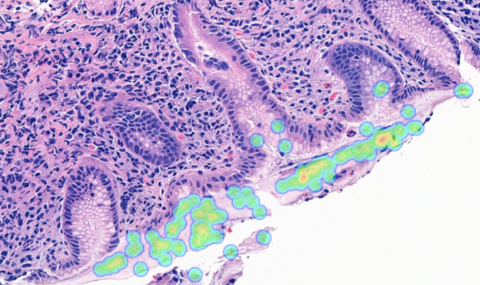
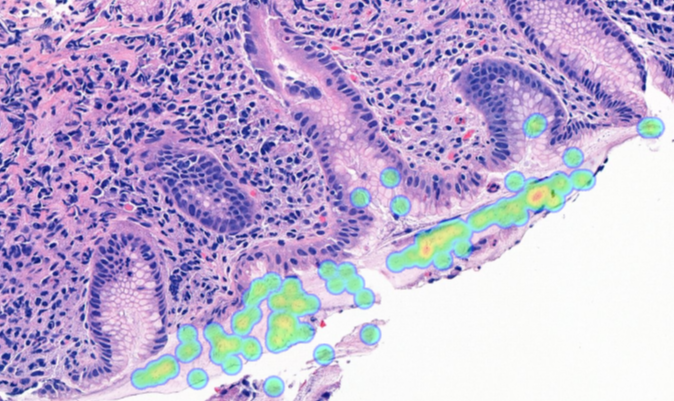
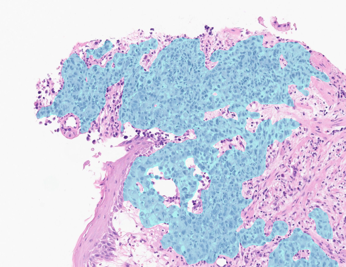
Manual screening for gastric carcinoma and Helicobacter pylori (H. pylori) is time-consuming and challenging. Subtle tumor foci and low bacterial density are subject to interobserver variability and workload pressure.
Aiforia® Gastric Suite uses AI to analyze digitized whole slide images to address these challenges. By highlighting suspicious areas directly on the slide, it enables efficient review while ensuring the pathologist remains in full control of interpretation and reporting.
Request a demo



