Benefits of AI-assisted analysis
Save time
Automate time-consuming and tedious tasks, such as cell counting. Aiforia reduces the counting time from hours to seconds, letting the user focus on more important aspects of their work.
Discover
Spot subtle changes and quantitative information in a reproducible manner from any image, including WSI. Aiforia's AI can enable discoveries, hidden to the human eye.
Increase consistency
AI doesn't have bad days. It always arrives at the same results, decreasing inter- and intra-observer variability.
Get started easily
Using Aiforia® Create requires no data science or software programming expertise. Its cloud-based nature makes it scalable and extremely fast to implement; no installation is needed.
Analyze in seconds
Learn more about Aiforia® Create
Explore various use cases and unique functionalities of Aiforia® Create – the market's most versatile tool for developing deep learning AI models for image analysis in digital pathology.
“Digitization is already creating room for more measurements. However, AI allows for more quantitative and reproducible measurement of important histologic features, which adds more value to clinical pathology reports and makes them diagnostically usable for cases like liver transplantation.”
Maxwell L. Smith, MD, Pathologist at the Mayo Clinic
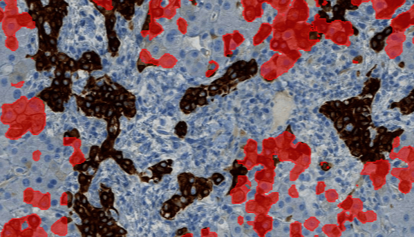
"Aiforia enables segmentation of both normal and pathological structures in liver histology in a way that allows us to accurately quantitate these features in multiple different ways. The traditional method of analyzing liver histology, i.e., visual assessment by pathologists, is rather problematic from the standpoint of medical research."
Sami Qadri, an MD PhD student from the University of Helsinki
"If a person started counting these cells one by one, they would lose their health and age. And what’s more, the results are completely consistent. AI doesn’t have bad days like us humans do. Subjectivity is wiped away, while my work is significantly sped up."
Nelli Sjöblom, an MD specializing as a pathologist at the Helsinki University Hospital
Explore how others have used AI in liver pathology

Case study: evaluating prognostic indicators in primary sclerosing cholangitis with AI
A pathologist studying primary sclerosing cholangitis (PSC) created a deep learning AI model to evaluate novel prognostic biomarkers of the liver disease.

Case study: AI model can improve large droplet fat quantitation in liver pathology
Dr. Maxwell L. Smith from Mayo Clinic built an AI model to accurately estimate large droplet fat in liver sections prior to transplantation.

NAFLD case study: assessing liver histology with AI
This case study describes the use of AI in studying nonalcoholic fatty liver disease (NAFLD) and its capability to segment structures in liver histology.

Case study: AI models aiding chronic cholestasis detection
Developing an automated image analysis tool to assess the amount of K7-positive hepatocytes in any liver biopsy specimen.
Request a demo
Discover the power of AI for image analysis
Learn how to enhance your image analysis work in diagnostic pathology, preclinical studies, and medical research. The demo will be tailored to your interests.
The demo will help you understand:
- How AI-assisted image analysis can increase efficiency, precision, and consistency.
- The versatile capabilities Aiforia® Create offers for creating, customizing, and validating deep learning AI models for histological features and patterns in image analysis.
We can demonstrate the tool on your own images or any of our application examples (e.g., automated tumor grading, NASH analysis).
Fill in the form, and one of our experts will contact you shortly to schedule the time.