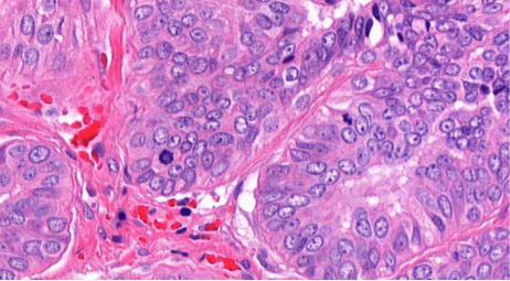
It took 2 seconds for AI to count 210 Ki67+ cells in this breast tissue image

Swipe to see the analysis below for yourself!

Ki67 with pos neg results
Breast tissue with AI mask and results
Ki67 before_no button
Breast tissue with Ki67 staining

Learn more How can AI help you?

Aiforia's portfolio consists of clinical AI models for some of the most prevalent cancers in the world — improving speed, precision, and consistency in the clinical workflow. 

Have a novel research question? Train your own unique AI model with Aiforia Create to identify, quantify, or measure features in any 2D image.

Read how AI was used to quantify Ki-67 in a pulmonary carcinoid tumor.

Transform your pathology workflow

Contact Us

Excited to integrate AI into your lab? Contact us!

Application examples

The Aiforia Platform was created to address these challenges and provide versatile and scalable solutions for medical research, drug development, and diagnostics.

EXPLORE Arrow